Trong quá trình niềng răng, nhiều khách hàng thường thắc mắc khi được bác sĩ chỉ định nâng khớp cắn. Đây là một bước nhỏ nhưng lại đóng vai trò rất quan trọng, ảnh hưởng trực tiếp đến hiệu quả chỉnh nha và kết quả cuối cùng của nụ cười.
Vậy nâng khớp cắn trong niềng răng là gì, có tác dụng gì và tại sao lại cần thiết? Hãy cùng tìm hiểu chi tiết trong bài viết dưới đây.
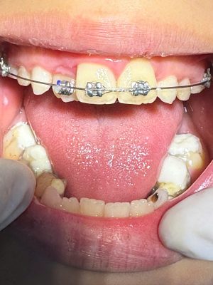
1. Nâng khớp cắn trong niềng răng là gì?
Nâng khớp cắn (bite turbos) là kỹ thuật sử dụng một lớp vật liệu chuyên dụng (thường là composite) gắn lên bề mặt một số răng, giúp tạo ra khoảng hở tạm thời giữa hàm trên và hàm dưới.
Trong niềng răng, nhiều trường hợp khách hàng gặp các vấn đề như:
- Răng cắn sâu (hàm trên phủ quá nhiều lên hàm dưới)
- Răng mòn, khớp cắn thấp
- Răng lệch lạc khiến hai hàm cắn chạm không đúng vị trí
Khi đó, nếu không nâng khớp cắn, các răng có thể cắn chạm trực tiếp vào mắc cài, gây bung mắc cài hoặc làm gián đoạn quá trình chỉnh nha.
Việc nâng khớp cắn sẽ giúp:
- Tạo khoảng trống để răng di chuyển
- Hạn chế va chạm giữa hai hàm
- Hỗ trợ bác sĩ kiểm soát lực kéo và hướng di chuyển của răng
Thông thường, nâng khớp cắn chỉ là giải pháp tạm thời trong một giai đoạn nhất định của quá trình niềng răng. Sau khi răng đã di chuyển về vị trí phù hợp, bác sĩ sẽ điều chỉnh hoặc loại bỏ.

2. Tác dụng của nâng khớp cắn trong niềng răng
Dù là một chi tiết nhỏ, nhưng nâng khớp cắn mang lại rất nhiều lợi ích quan trọng trong quá trình chỉnh nha.
Tạo khoảng trống giúp răng di chuyển đúng hướng
Trong các trường hợp răng cắn sâu hoặc chen chúc, khoảng không giữa hai hàm rất hạn chế. Nâng khớp cắn giúp mở khớp, tạo không gian để răng có thể dịch chuyển dễ dàng và đúng hướng theo kế hoạch điều trị.
Bảo vệ mắc cài và khí cụ chỉnh nha
Nếu không nâng khớp cắn, răng trên và răng dưới có thể cắn trực tiếp vào mắc cài, gây:
- Bong, tuột mắc cài
- Hỏng dây cung
- Tăng thời gian điều trị
Việc nâng khớp cắn giúp giảm lực va chạm, bảo vệ hệ thống mắc cài trong suốt quá trình niềng răng.
Hỗ trợ điều chỉnh khớp cắn chuẩn

Khớp cắn chuẩn không chỉ giúp răng đều đẹp mà còn đảm bảo chức năng ăn nhai và sức khỏe lâu dài.
Nâng khớp cắn giúp bác sĩ kiểm soát tốt hơn quá trình điều chỉnh, từ đó:
- Cải thiện tình trạng cắn sâu, cắn chéo
- Đưa hai hàm về vị trí tương quan chuẩn
- Tăng tính ổn định sau khi tháo niềng
Giảm áp lực lên răng và khớp thái dương hàm
Ở những người có khớp cắn sai lệch, lực nhai thường không phân bố đều, dễ gây:
- Mỏi hàm
- Đau khớp thái dương hàm
- Mòn răng không đều
Nâng khớp cắn giúp phân bổ lại lực nhai hợp lý, giảm áp lực lên răng và khớp, hỗ trợ quá trình điều trị diễn ra nhẹ nhàng hơn.
Tăng hiệu quả và rút ngắn thời gian niềng răng
Khi răng được di chuyển đúng hướng ngay từ đầu và hạn chế được các sự cố như bong mắc cài, quá trình niềng răng sẽ diễn ra thuận lợi hơn.
Nhờ đó, nâng khớp cắn góp phần:
- Tăng hiệu quả chỉnh nha
- Giảm số lần chỉnh sửa
- Rút ngắn thời gian điều trị trong nhiều trường hợp
- Nha khoa Athena Hạ Long – Địa chỉ niềng răng uy tín, nâng khớp cắn chuẩn xác

Để việc nâng khớp cắn và niềng răng đạt hiệu quả cao, việc lựa chọn địa chỉ nha khoa uy tín là yếu tố rất quan trọng.
Tại Nha khoa Athena Hạ Long, mỗi khách hàng đều được thăm khám và xây dựng phác đồ điều trị cá nhân hóa, trong đó kỹ thuật nâng khớp cắn được áp dụng linh hoạt tùy theo từng tình trạng răng và khớp cắn.
Với hơn 10 năm kinh nghiệm trong lĩnh vực nha khoa, Athena đã thực hiện hàng nghìn ca niềng răng thành công, bao gồm:
- Niềng răng mắc cài kim loại
- Niềng răng mắc cài sứ thẩm mỹ
- Niềng răng trong suốt Invisalign hiện đại
Đội ngũ bác sĩ tại Athena đều được đào tạo bài bản, tốt nghiệp từ Đại học Y Hà Nội và Đại học Răng – Hàm – Mặt, có kinh nghiệm chuyên sâu trong chỉnh nha và xử lý các trường hợp khớp cắn phức tạp.
Bên cạnh đó, hệ thống trang thiết bị hiện đại, quy trình điều trị chuẩn y khoa giúp khách hàng yên tâm trong suốt quá trình niềng răng.
Không chỉ giúp răng đều đẹp, Athena còn chú trọng khôi phục khớp cắn chuẩn, mang lại:
- Nụ cười hài hòa, tự nhiên
- Chức năng ăn nhai tốt hơn
- Sự tự tin trong giao tiếp và cuộc sống
Nâng khớp cắn trong niềng răng là một bước quan trọng giúp tạo điều kiện cho răng di chuyển đúng hướng, bảo vệ mắc cài và cải thiện khớp cắn hiệu quả.
Dù chỉ là một chi tiết nhỏ, nhưng nếu được thực hiện đúng cách, nâng khớp cắn sẽ góp phần quyết định đến thành công của toàn bộ quá trình chỉnh nha.
Nếu bạn đang có ý định niềng răng hoặc gặp các vấn đề về khớp cắn, hãy lựa chọn cơ sở nha khoa uy tín để được tư vấn và điều trị đúng cách, giúp bạn sở hữu nụ cười khỏe đẹp và bền vững lâu dài.

